2013年臨床執業醫師實踐技能輔導:X線影像練習(1)
更新時間:2013-06-26 12:07:16
來源:|0
瀏覽
收藏
醫學實踐技能報名、考試、查分時間 免費短信提醒
摘要 2013年臨床執業醫師實踐技能輔導:X線影像練習(1)
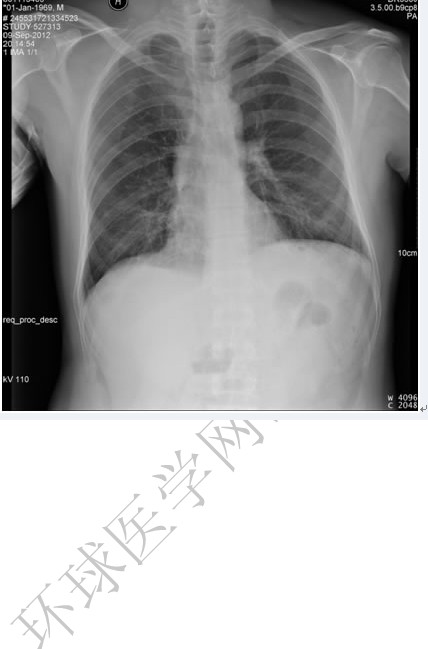
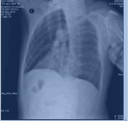
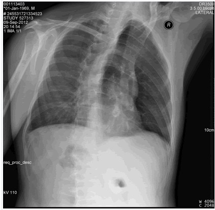
后肋骨折
圖示為右側3,5,6,7,8后肋骨折。
圖示為右側3,5,6,7,8后肋骨折。
(1)后前位

(2)斜位


環球網校醫學考試網www.yx24.com
|
專業 |
套餐 |
|
1 |
|
|
2 |
|
|
3 |
|
|
4 |
|
|
5 |
最新資訊
- 2022臨床執業醫師實踐技能考試模擬題:影像學(6分)2021-12-01
- 2022臨床執業醫師實踐技能第三站試題:氣管內插管、骨穿2021-11-24
- 2022臨床執業醫師資格實踐技能考試:病例分析實戰模擬題2021-11-19
- 2022臨床執業醫師實踐技能精選習題:骨髓穿刺術2021-11-18
- 2022臨床醫師實踐技能考試體格檢查模考題:乳房觸診2021-10-25
- 2022臨床執業醫師資格實踐技能體格檢查模擬題:肝上界叩診并測量肝上下徑2021-10-23
- 2022中醫執業醫師實踐技能考試病例分析題2021-10-22
- 2022醫師資格實踐技能體格檢查模擬題:心臟視診2021-10-21
- 2022臨床執業醫師資格實踐技能體格檢查模擬題:肺部間接叩診2021-10-20
- 2022醫師實踐技能考試病例分析題(10月13日)2021-10-13